【病例】 胃異位胰腺
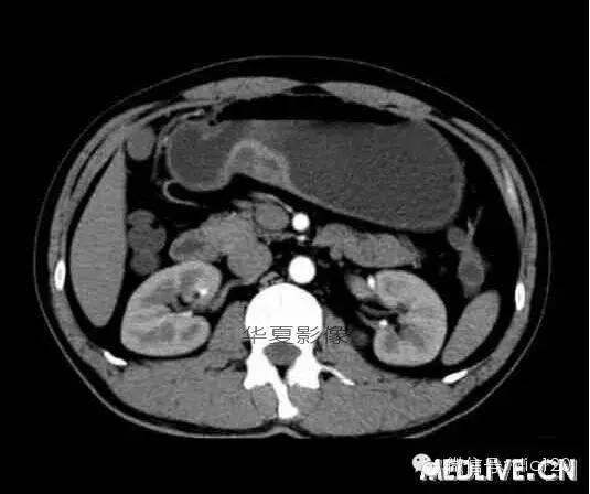
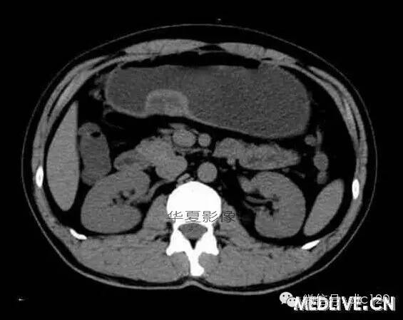
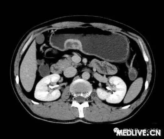
男,36歲,間斷性返酸噯氣3年,3個月前出現上腹疼痛,饑餓時加重。圖1-3為CT平掃,圖4-6分別為CT增強掃描的動脈期、門脈期和延遲期。



影像表現
CT檢查可見胃幽門前區胃小彎側胃壁局限性增厚、隆起或伴凸向胃腔內的小結節灶,寬基地,境界光整,注射對比劑,增強掃描后,CT值可達50HU以上,與正常胰腺強化相仿。
確診依據
手術:異位于胃的胰腺
鑒別診斷
1、間質瘤是胃黏膜下最常見的腫瘤,多位于胃底、胃體,腫瘤較小時,邊緣清晰,較少出現壞死。較大者多出現囊變、壞死,密度不均勻,多呈中度以上強化。間質瘤生長方式多樣,外生多見。平滑肌瘤多位于胃賁門部,密度比較均勻,增強呈輕中度均勻強化。
2、神經鞘瘤多呈圓形、類圓形或分葉狀,境界多較清晰,直徑多小于3 cm,增強呈輕中度強化,與異位胰腺鑒別較困難,但神經鞘瘤一般不出現臍凹征或導管征。
3、胃癌的胃黏膜破壞,胃壁僵硬,病灶密度不均勻,增強呈輕中度強化。胃異位胰腺是一種少見的黏膜下病變,臨床誤診率較高。
討論
胃迷走胰腺大多位在距幽門1-6cm的胃竇胃大彎側,粘膜下層內,為1-3cm大小的病灶。 與胃壁以寬基底相,增強掃描病灶表面覆蓋的黏膜明顯強化且連續,病灶內無明顯壞死,病變強化方式類似于正常胰腺組織;當病灶出現邊緣臍凹征或中央導管征時,對EP的診斷具有一定的特異性。
- 上一篇
早發現早治療!全家染幽門螺桿菌父親查出胃早癌
山東濟南一36歲男子體檢發現感染幽門螺桿菌,經檢測其他家庭成員4人均已感染。其父親在醫生建議下做了胃鏡檢查,查出早期胃癌,經過手術目前恢復良好。主治醫生介紹幽門螺桿菌感染會導致慢性活動性胃炎、消化性潰瘍等疾病,如終生不殺菌約5%的患者會發生胃癌。醫生提示,幽門螺桿菌經口傳播,個人如發現感染,建議其他家庭成員一同檢測做主動篩查。醫院就診或在疫情下選擇居家自測。
- 下一篇
5年生存率兩倍于中國,同為胃癌高發國家,日本做了什么?
中國和日本胃癌發病率相當,在全球分列第一、第二。而日本胃癌五年生存率高達80%,這一數據將美國(40%)和中國(30%-40%)遠遠甩在身后。同為東亞國家,日本做了什么,又有什么經驗值得學習? 中國胃癌負擔沉重早期診斷比例低 據世界衛生組織國際癌癥研究機構(IARC)統計,2020年中國新發癌癥457萬人,占全球23.7%;2020年中國癌癥死亡人數300萬