【PHILIPS每日一例】【誤診分析】肝臟血管平滑肌脂肪瘤誤診為肝癌一例
患者,女,50歲,農民。
因右上腹疼痛1月余,外院B超診斷為肝癌入我院治療。既往無肝炎病史,無飲酒史,無遺傳病史,無高血壓糖尿病史。
體檢:神志清楚,正力體型,皮膚鞏膜無黃染;心肺聽診未見異常;腹軟,肝脾肋下未及,腹水征陰性,雙下肢無水腫。
入院后輔助檢查:甲胎蛋白正常,肝功能正常,血常規正常,便常規見膿球1~3個,HBV和HCV相關病原學檢查陰性。
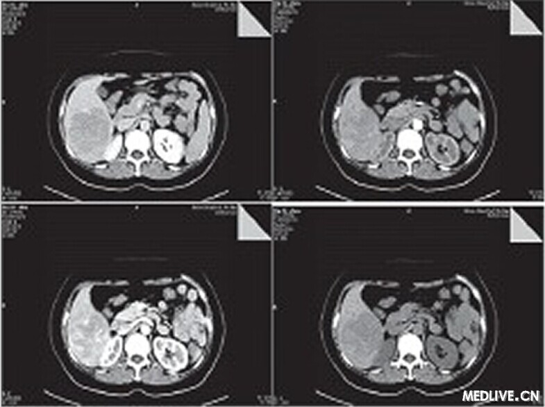
CT檢查平掃示肝右葉見6.6 cm×7.7 cm×8.8 cm塊影,CT值約為49 HU,病變內下緣與右腎上極分界欠清。動態增強掃描動脈期病變內見腫瘤血管影,延遲期呈相對低密度影,三期CT值分別為55.3 HU、85.8 HU、67.5 HU,腹膜后未見腫大淋巴結(如圖1所示)。結論:肝右后葉占位,肝癌可能性大,腹腔積液。

圖1 CT平掃
初步診斷:原發性肝癌。
遂在我院肝膽外科外科行腫瘤及部分肝葉切除。切除后巨檢:腫塊6 cm×6 cm,質硬,邊界不清,活動度差,色灰白,形狀不規則;腫瘤與周圍組織邊界清楚,但無包膜;周圍肝組織形態未見明顯異常。
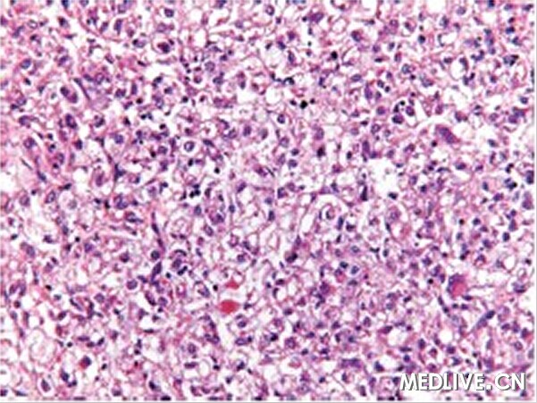
鏡檢(圖2):腫瘤細胞彌漫成片,呈上皮樣,細胞核形態不整,胞漿嗜酸性或透明,可見多核巨細胞。
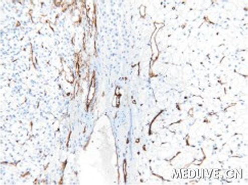
免疫組化染色:如圖3~圖9:CD34內皮細胞(-),腫瘤細胞CK8/18(-),圖中可見殘存肝細胞陽性;腫瘤細胞Hepat(-),殘存肝細胞陽性;腫瘤細胞HMB45(+),而殘存肝細胞陰性;腫瘤細胞Ki67陽性細胞比例<2%;腫瘤細胞Melan-A(+), SMA(+)。

圖2 HE染色
圖3 IHD CD34(-)
圖 免疫組化染色結果
最終診斷:肝臟上皮樣血管平滑肌脂肪瘤( Angiomyoipoma,AML),患者術后恢復良好,隨訪一年無復發。
討論
肝AML是血管周上皮樣細胞腫瘤(Perivascular Epithelioid Cell Tumor,PEComa)家族成員之一, 病因和發病機制不清,Ishak于1976年首先報道該病。它也可發生于腎臟,過去曾被認為是錯構瘤。近年來分子生物學研究顯示,其在克隆發生、免疫組化和超微結構等方面具有組織同源性,也支持其為單一細胞類型起源,提示本病為真性腫瘤,來自血管周圍上皮樣細胞。這種細胞具有多向分化潛能,可向血管平滑肌和血管內皮細胞分化,組織形態包含有厚壁血管、平滑肌及脂肪。在不同病例中各種成分可以混雜,亦可以某一種成分為主,以表達黑色素瘤細胞分化的標記物為特征。
肝AML的CT影像學差異較大,主要取決于腫瘤內脂肪的含量及異常血管所占的比例,典型病例腫瘤內存在脂肪影時,CT值往往為負值。診斷肝AML不難,但部分肝AML在影像學上因缺乏脂肪而無特征性表現,容易誤診。本病例起初診斷為肝癌,因其較符合肝癌的CT影像學特點:在增強掃描時,表現為“快進快出”,動脈期明顯強化,可以看到多數細條彎曲強化的供血動脈及腫瘤實質區強化影,于門脈期雖然病灶實質部分仍有強化但病灶內動脈供血血管消失,于延時期病灶強化程度降低呈低密度影。
Tsui等根據瘤組織病理的特點將血管平滑肌脂肪瘤分為4型。①典型型:即實性成片的肌樣細胞混以片狀脂肪細胞,其間穿插不規則的厚壁血管。②肌瘤樣型:以肌細胞成分為主,構成竇狀小梁,脂肪成分<10%;根據平滑肌細胞形態又可分為上皮樣細胞型、中間細胞型、梭形細胞型、單形性細胞型及多形性細胞型。③脂肪瘤樣型:脂肪成分>70%,上皮細胞與短梭狀肌細胞在脂肪間形成網狀結構。④血管瘤樣型:由粗大厚壁血管組成,細胞成分少。
免疫組織化學方面,平滑肌成分表達平滑肌肌動蛋白(SMA),而上皮樣成分表達HMB45(黑色素瘤單克隆抗體)及Melan A,但上皮標記PCK、EMA陰性。肝AML是惟一一種免疫組化同時表達HMB45和Melan-A的肝臟腫瘤。典型型病理學診斷上相對較易,但是當以某一種腫瘤成分為主時,需要與相應的疾病予以鑒別。
鑒別診斷:本例形態上以上皮樣細胞成分為主,所以在組織病理上需與以下疾病鑒別。
①肝細胞癌。因含有多角形大細胞,并呈小梁狀排列,少量核仁明顯嗜酸性,胞質透亮,易與肝細胞癌混淆,尤其是肝透明細胞癌。但一般肝細胞癌周圍的肝組織常呈硬化,且肝癌細胞呈浸潤性生長,免疫組化染色肝癌細胞上皮性標記及AFP均陽性,而HMB45及平滑肌原性標記均陰性。
②肝母細胞瘤。個別肝母細胞瘤人黑色素瘤的抗體HMB45(+),但肝母細胞瘤細胞似原始肝細胞,內可見骨和軟骨成分,此瘤好發于嬰幼兒。
③上皮樣平滑肌肉瘤。瘤細胞往往異形性明顯,核分裂可見或多見。
治療:肝AML的治療一般是手術切除,也有主張如能明確診斷,可隨訪觀察,暫不切除。脂肪含量較多的肝AML切除時,如腫瘤遭到擠壓,可能出現脂肪栓塞,危及生命。絕大多數臨床報道術后無復發,但Deng等最近報道一例病灶惡變、轉移,最終死亡的病例,提示若肝AML較大、生長迅速、多形核、P53陽性需警惕惡變可能。
點評:
目前診斷肝癌的常用臨床檢查方法包括檢測血中甲胎蛋白,巖藻糖苷酶,影像學檢查等。血中甲胎蛋白及巖藻糖苷酶敏感度僅80%左右,此兩項指標陰性不能排除肝癌,陽性也不能確診肝癌。B超、CT或磁共振增強掃描等檢查因有時肝硬化結節、肝AML的影像學與肝癌相似,也可能造成誤診。當上述檢查有疑問時,還可借助PET檢查,有助于鑒別良性或惡性腫瘤。但因價格昂貴或條件所限,而難以實施。
肝AML的CT影像學差異較大,主要取決于腫瘤內脂肪的含量及異常血管所占的比例,典型病例腫瘤內存在脂肪影時,CT值往往為負值,診斷肝AML不難。但部分肝AML在影像學上因缺乏脂肪而無特征性表現,容易誤診。如本病例腫瘤內缺少典型脂肪及平滑肌成分,形態上較為單一,影像學缺乏典型的血管平滑肌脂肪瘤特征,從而誤診為肝癌,值得引起臨床、影像科以及病理科醫生的注意。
- 上一篇
肝局灶性結節增生(FNH)
男,21Y,門診患者,病史不詳影像表現:CT平掃與正常肝組織呈等密度,密度均勻,動脈期病灶快速明顯均勻強化,中心見小片狀低密度影(瘢痕),門脈期及延遲期對比劑快速退出呈等密度,中央低密度影延遲強化。MRI腫塊T2WI為稍高信號,中央高信號。動態增強掃描動脈期均顯著增強,門脈期輕度增強,延遲期瘢痕強化。 隨訪外院手術病理:肝FNH。 鑒別診斷:1、肝血管瘤:增
- 下一篇
“神藥”再發威!助力肝癌TACE后緩解,還能降低局部復發風險達72%!
肝細胞癌(HCC)是最常見的肝癌類型,是全球癌癥第四大死因。肝細胞癌的治療包括局部區域和全身治療,具體取決于腫瘤分期和功能性肝儲備。經動脈化療栓塞 (TACE) 是中期肝細胞癌患者最常用的局部區域治療,此外如果手術或局部消融不可行,早期肝細胞癌也可能適用于 TACE。 然而,TACE的局部控制率范圍為57%至80%,在肝細胞癌早期,長期無復發率僅為17%-3