Radiology:CT和CA19-9對非轉移性胰腺癌治療效果的評估
眾所周知,準確評估治療反應對于癌癥患者的管理非常重要。目前對大多數類型的腫瘤進行反應評估的標準方法是實體瘤反應評估標準(RECIST)1.1版,包括四個類別:完全緩解、部分反應(PR)、疾病穩定(SD)和疾病進展(PD)。然而,RECIST并不總是作為患者生存的替代標記物的最佳選擇。
關于胰腺導管腺癌(PDAC),CT一直是治療反應評估的主要依據。然而許多作者指出,影像學評價經常低估實際的治療反應。多項研究提出了一線治療期間碳水化合物抗原19-9(CA 19-9)水平變化的預測作用。最新的國家綜合癌癥網絡指南(1.2021版)建議在評價PDAC患者的治療反應時同時使用影像學和CA 19-9水平。然而,整合這兩個不同的參數--影像學研究結果(CT反應)和CA 19-9水平(CA 19-9反應)的最佳方法和臨床意義在文獻中沒有得到很好的確立。
近日,發表在Radiology雜志的一項研究在一線治療開始后8周,探討了CT(CT反應)和CA 19-9反應的聯合評估對預測非轉移性PDAC患者的總生存期(OS)的有效性。
本研究在2013年1月至2016年12月期間納入了一個單中心PDAC隊列登記處接受化療或同期化放療一線治療的非轉移性PDAC患者。根據實體瘤的反應評估標準,對治療后8周獲得的后續CT圖像進行評估。部分反應(PR)或疾病穩定(SD)的患者被定義為CT反應者,而疾病進展(PD)的患者被定義為CT無反應者。隨訪8周時CA 19-9水平恢復正常的患者被定義為CA 19-9應答者,而CA 19-9水平未恢復正常或未升高的患者被定義為CA 19-9無應答者。使用Kaplan-Meier方法和Breslow分析比較了OS。
本研究共評估了197名患者(平均年齡±標準差,65歲±10;107名男性)。PD患者(n = 17)的OS比SD(n = 147;P < .001)或PR(n = 33;P = .003)的患者短。PR患者和SD患者的OS沒有差異(P = .60)。當CT和CA 19-9反應被整合時,CT和CA 19-9反應者的OS最長(第一組,n = 27;中位OS,26.6個月[95% CI: 9.0, 44.1]),其次是CT反應者但CA 19-9無反應者(第二組,n = 153;中位OS,15. 9個月[95% CI: 13.3, 18.5]; P = .007 vs 第一組)和CT和CA 19-9無反應者(第三組,n = 17; 中位OS,6.5個月[95% CI: 0.8, 12.2]; P < .001 vs 第二組)。

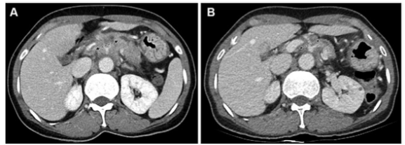
圖 患有胰腺導管腺癌的54歲女性患者的CT圖像,為第一組的代表性示例(CT和CA 19-9反應者)。(A) 基線增強CT圖像顯示胰腺體處有一個30毫米的腫塊,包繞腹腔動脈和肝總動脈(箭頭)。該腫塊為局部晚期狀態。基線CA 19-9水平為391.9 U/ml。(B)使用5-氟尿嘧啶、亮丙瑞林、伊立替康和奧沙利鉑或FOLFIRINOX一線治療8周后獲得的后續對比增強CT圖像。由于腫塊的大小略微下降到27毫米(箭頭),根據實體瘤的反應評價標準,治療反應被歸類為疾病穩定(CT反應者)。由于CA 19-9水平也降至29.2 U/mL,低于37 U/mL的臨界值,患者被歸類為CA 19-9反應者。沒有進行手術切除。在獲取數據時,該患者還生存,總生存期為44.7個月
本研究對CT和CA19-9反應的綜合評價在日常臨床實踐中應用便捷,與實體腫瘤反應評價標準相比,能更準確地對非轉移性胰腺腺癌患者在治療早期的生存狀況進行分層。無論可切除性狀況如何,CT和CA 19-9反應者都為手術探查的潛在候選人。
原文出處:
Seung-Seob Kim,Sunyoung Lee,Hee Seung Lee,et al.Retrospective Evaluation of Treatment Response in Patients with Nonmetastatic Pancreatic Cancer Using CT and CA 19-9.DOI:10.1148/radiol.212236
- 上一篇
Nature:一個基因讓胰腺癌“改邪歸正”!
美國胰腺癌患者的5年生存率是11%,是名副其實的癌王。 近日,Behrens團隊在頂級期刊《自然》發表重要研究成果,GREM1的蛋白對胰腺癌的發生和發展極為重要。如果GREM1失活,胰腺上皮細胞在幾天之內就能變成胰腺癌細胞(間質化);而GREM1在癌細胞中過表達的話,癌細胞竟然幾乎全部都“上皮化”了,出現了間質上皮化的過程,胰腺癌它可
- 下一篇
Lancet Oncol:尼拉帕利聯合伊匹單抗維持治療可改善晚期胰腺癌患者預后
目前有人提議,為晚期胰腺癌患者建立終身化療的替代方案,以解決化療耐藥性和累積毒性問題。PRRP抑制劑已在這種情況下顯現出療效,同時阻滯免疫檢查點可提供協同腫瘤控制效益。該研究旨在評估晚期胰腺癌患者采用PARP抑制劑聯合免疫檢查點阻滯的安全性和抗腫瘤活性。這是一項開放標簽、隨機化的1b/2期臨床試驗,招募了接受以鉑為基礎的治療后16周未進展的晚期胰腺癌患者,隨