膽囊癌丨MRI表現(與膽囊壁水腫相鑒別)
原發性膽囊癌是繼結腸癌、胰腺癌、胃癌、肝癌和食道癌之后的第六大最常見的胃腸道惡性腫瘤。
危險因素可能包括慢性沙門氏菌感染,橡膠、汽車、木材涂飾和金屬制造行業所用化學藥品的暴露,以及膽石癥。
癥狀模糊不清,常與鄰近器官的受侵有關。絕大多數膽囊癌是腺癌。大多數患者為進展期,預后較差。
影像學檢查可顯示腫塊替代了正常的膽囊(65%),膽囊壁彌漫性或局灶性增厚(30%)或膽囊腔內息肉樣腫塊(25%)。高達90%的病例可見肝臟直接受累,其次是結腸、十二指腸和胰腺。


-
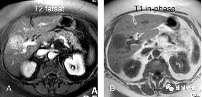
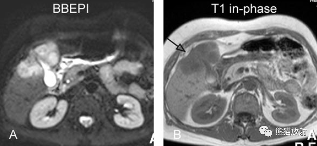
T2壓脂(T2 fatsat):膽囊窩內膽囊癌病變較肝臟為高信號,病變頂部向肝內擴展;
-
T1同相位(T1 in-phase):膽囊癌病變較肝臟為低信號;
-
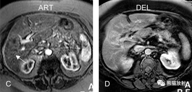
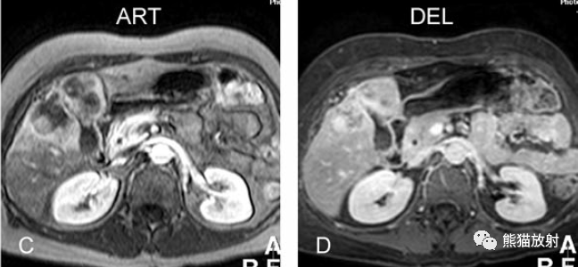
增強動脈期(ART):不均質強化;
-
延遲期(DEL):部分廓清,部分持續強化。



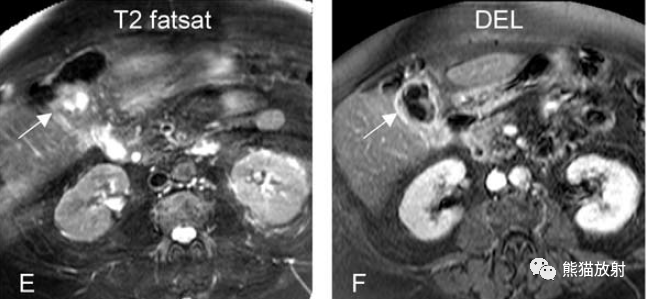
膽囊癌。A~D圖:上方層面,表現如上所述,形成腫物侵及肝臟。E、F圖:下方層面示膽囊壁不規則增厚,明顯不均質強化。

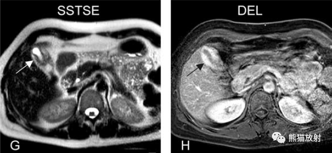
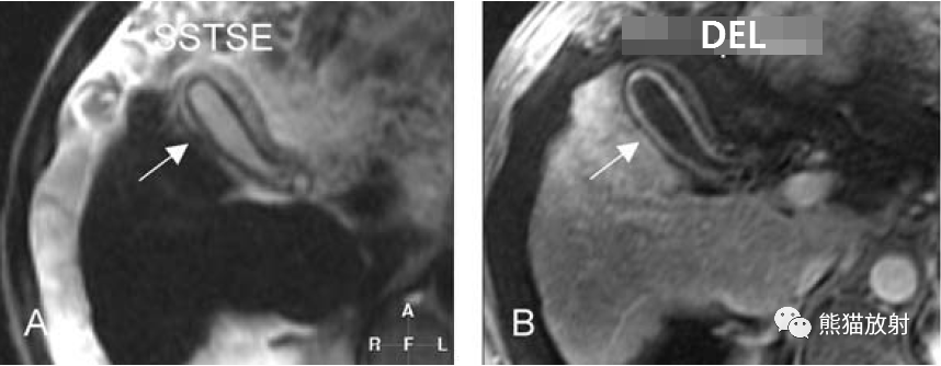
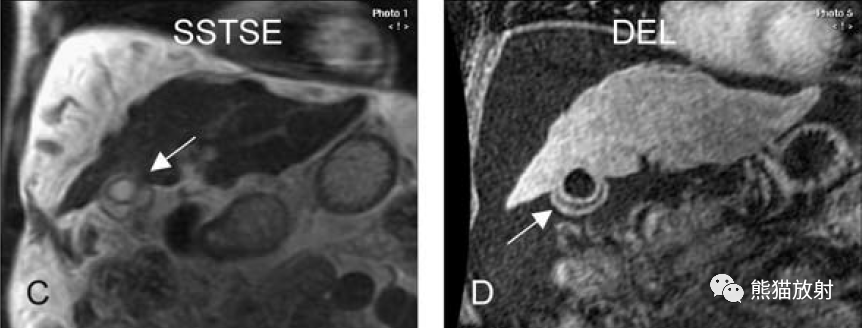
另一例膽囊癌,T2WI及增強延遲期顯示膽囊壁不均勻增厚并明顯強化。




膽囊癌。病灶以膽囊為中心侵及肝臟,明顯彌散受限,由于病灶內含結締組織/纖維成分(T2低信號)導致肝被膜內陷,增強掃描動脈期明顯不均質強化,延遲期中心纖維成分延遲強化。表現類似肝內膽管細胞癌。
鑒別診斷:
膽囊壁水腫
Gallbladder Wall Edema


膽囊壁增厚(并肝硬化、門脈高壓、腹水)。T2WI顯示膽囊壁因水腫而光滑均勻增厚,增強延遲期顯示強化的膽囊壁(內外兩層:粘膜層和漿膜層),薄而清晰光滑。
- 上一篇
降壓藥也能遏制胰腺癌? BMC Cancer?發文:這類藥物可降低20%的死亡風險
胰腺癌是最具侵襲性的癌癥之一,美國胰腺癌患者的5年生存率是11%,是名副其實的癌王。目前,手術切除仍然是顯著延長胰腺癌患者生存期的唯一治療選擇,然而僅有 10-20% 的患者適合切除。在過去二十幾年里,科學家們對胰腺癌及其不可切除患者的治療方案進行了大量研究,總體生存率僅略有改善。 先前,眾多臨床前數據支持血管緊張素受體拮抗劑(ARB)和血管緊張素轉化酶抑制
- 下一篇
這個簡單易得的指標,竟可預測「癌王」患者的術后OS?!
胰腺切除術,如胰腺十二指腸切除術(PD)和遠端胰腺切除術(DP),一直是惡性胰腺腫瘤的金標準手術方法。盡管在手術技能、能量裝置和圍手術期管理方面取得了進展,但PD和DP后與手術相關的死亡率可高達5%。在潛在的術后并發癥 (POC) 中,最常見的是手術部位感染 (SSI)、胃排空延遲 (DGE) 和術后胰腺瘺 (POPF)。最近有證據表明,POPF與胰腺癌患者