European?Radiology:基于AI的全自動脾分割在肝癌TACE患者風險分層中的應用
肝細胞癌(HCC)是世界上最常見的原發性肝癌,在造成癌癥相關死亡的疾病中排名第二。眾所周知,超過80%的HCC是由肝硬化引起的。因此,在做出最佳治療決定時,必須同時評估腫瘤負荷和殘余肝臟功能。
除了損害肝臟蛋白質的合成,肝硬化還導致了脾臟循環的漸進性變化。在肝硬化期間,持續的組織重組導致門靜脈壓力的增加,最終導致胃食管靜脈曲張、腹水和脾臟體積增大。因此,脾臟體積的增大與嚴重的肝硬化有關。因此,脾臟體積已被確定為接受切除術或腫瘤消融術的HCC患者的一個高度敏感的預后參數。在一項針對接受經動脈化療栓塞術(TACE)的HCC患者的初步研究中,脾臟體積被確定為一個相關的預后因素。
隨著人工智能領域的發展,該技術為臨床提供了關于自動器官分割和體積評估的可能,可以很容易地實時整合到臨床工作流程中。因此,脾臟體積可能成為治療計劃和TACE后隨訪的一個容易評估和隨時可用的預后因素。
近日,發表在European Radiology雜志的一項研究建立了一個基于CT圖像的用于全自動脾臟體積評估的深度學習算法,驗證了總脾臟體積作為一種新的影像學生存預測指標物的臨床價值,并研究了其評估接受TACE的HCC患者肝功能失調預測指標的作用。

本項回顧性研究包括2010年-2020年間在本機構三級護理中心接受初次TACE的327名治療無效的HCC患者。在前100個連續病例上訓練并驗證了卷積神經網絡的脾臟分割。然后,使用該算法評估了所有327名患者的SV,并評估了SV與生存率之間的相關性,以及TACE期間肝功能失調的風險。
該算法在訓練和驗證期間顯示Sørensen Dice評分為0.96分。在其余227名使用該算法評估的患者中,223名患者(98.2%)的脾臟分割得到了視覺認可,4名患者(1.8%)的脾臟分割失敗,需要人工重新評估。平均SV為551毫升。與低SV相比,高SV患者的生存期(10.9個月)明顯較低(22.0個月,P = 0.001)。此外,TACE后出現肝功能失調的患者,其SV值明顯較高(P < 0.001)。

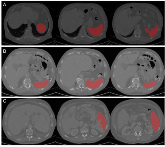
圖 算法性能的代表性圖像(從左到右是脾臟上部、中部和下部的圖像)。A完美的分割,B可接受的分割(中間有輕微的分割錯誤),C差的分割(上部有主要的分割錯誤,有吻合的肝臟和脾臟現象)
本研究表明,本研究提出的深度學習算法可以對接受TACE的HCC患者進行全自動的脾臟體積評估。與已有的脾臟體積的二維估計相比,本研究的算法提供了更精確的脾臟體積評估,在預測生存率方面顯示出更明顯的優越性,在識別有肝臟失代償風險的患者方面顯示出高度的敏感性。因此,真正的脾臟體積可以作為一個額外的成像生物標志物,在每次CT檢查中無需額外的掃描及處理就可以完全自動獲得。
原文出處:
Lukas Müller,Roman Kloeckner,Aline Mähringer-Kunz,et al.Fully automated AI-based splenic segmentation for predicting survival and estimating the risk of hepatic decompensation in TACE patients with HCC.DOI:10.1007/s00330-022-08737-z
- 上一篇
Cell Metabolism:林建諜團隊發現脂肪細胞可產生一種抑制肝癌的激素
非酒精性脂肪肝開始是肝臟中相對良性的脂肪堆積,但這種疾病會發展為非酒精性脂肪性肝炎(NASH),還會增加患肝癌的風險。 2022年8月15日,密歇根大學醫學中心林建諜教授團隊在 Cell 子刊 Cell Metabolism 上發表了題為:Neuregulin 4 suppresses NASH-HCC development by restraining
- 下一篇
中國發病和死亡人數占全球一半的這種腫瘤,其實完全可避免
肝臟是人體消化系統中最大的消化腺,是體內新陳代謝的重要器官(攝入的食物在肝臟內進行化學變化,將合成人體必需的蛋白質等營養物質),肝臟還負責酒精、氨氣等有毒物質的解毒工作。肝臟如此強大,但又非常脆弱,病毒入侵、脂肪堆積等都會影響它的功能。 肝臟最致命的疾病之一——肝癌,一度被認為是一種“中國特色”,因為2020年